نبدأ بالعِلم… ونكمّل بالعلاج الصح

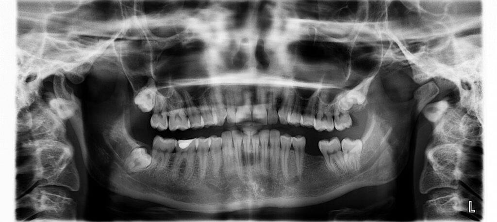
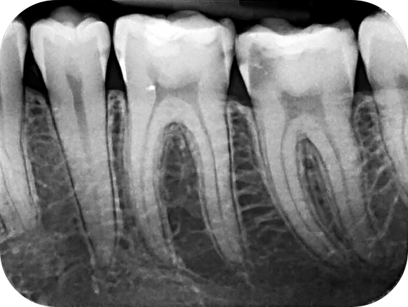
مش كل مشكلة في الأسنان بتبان بالعين، وعشان كده الأشعة الرقمية عندنا بتكون أول خطوة للتشخيص الدقيق. في Smiley Dental Care، الأشعة متوفرة داخل العيادة مجاناً ضمن زيارتك — بأحدث الأجهزة اللي بتوضح التفاصيل بوضوح، وبتساعدنا نحدد السبب الحقيقي ونعالج من أول مرة.

x ray, teeth, tooth is missing, x ray, x ray, x ray, teeth, teeth, teeth, teeth, teeth

إمتى أحتاج أشعة أسنان؟

ألم في السن ومش واضح السبب.

علاج عصب أو تركيب.

شك في وجود تسوس داخلي أو خُراج.

تقويم أو خلع ضرس عقل.

أنواع الأشعة

الأشعة داخل الفم
(Intraoral X-ray)

لتشخيص التسوس، وفحص العصب، وكشف أي تلف داخلي في الأسنان.

ليه تختار
Smiley Dental Care؟

أحدث الأجهزة الرقمية بدقة عالية تشوف أدق التفاصيل.

نسبة إشعاع أقل بكتير من الأشعة التقليدية، وآمنة تماماً.

النتيجة فورية، بتظهر على الشاشة قدامك في نفس اللحظة.

وضوح الصورة بيساعد الدكتور يحدد المشكلة بدقة وأمان.

الأشعة محفوظة في ملفك الطبي داخل العيادة، علشان نرجع لها في أي وقت بسهولة.

أسئلة شائعة عن الأشعة